How to use Oblique Reformatting

To turn on the Oblique Reformatting feature in Stradus, press the following button in the top button bar

After activating the Tumble mode you will see the following extra handles in the view (see screenshots below)

  1. Pull the pole to the left or the right for in-plane rotating of the image in any desired angle
  2. Press -90 degrees or +90 degrees for reformat into the other plane
  3. Press -90 degrees or +90 degrees for reformat into the other plane
  4. Pull the Refference Line (dotted line) in the other view to get the exact plane through the object you want to study (when the dotted line turns orange you can rotate it into the desired plane)
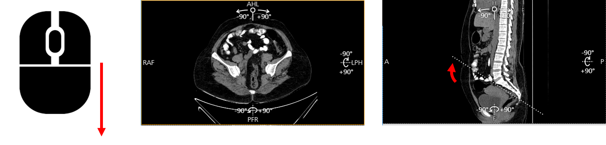
  5. Tumble the view into the desired plane by only moving your mouse

1. In-plane rotation

Before in-plane rotation After in-plane rotation

2&3. Easy Reformatting into other planes

Axial Coronal Sagittal

4. Oblique

Pull the dotted line in the required plane Oblique view
  

    

5. Tumble

By moving your mouse up and down and left and right you can very smoothly and easily change your view plane to get the desired intersection

By moving your mouse upwards you tilt your view plane downwards

By moving your mouse downwards you tilt your view plane upwards

By moving your mouse to the left you tilt your viewplane sideways
   
By moving your mouse to the left you tilt your viewplane sideways